Publicidad
 

SALUD

|
24/03/2025

Día mundial de la Tuberculosis: se puede prevenir y curar

Desde el Ministerio de Salud de Río Negro, se destaca la importancia de pensar en esta enfermedad durante todo el año.

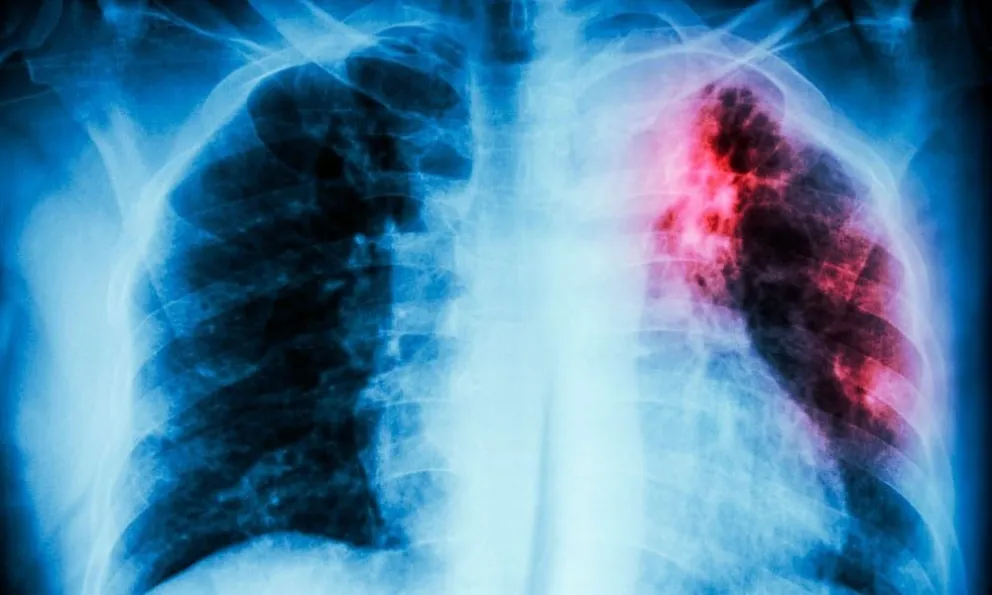
En el marco del Día Mundial de la Tuberculosis, que se conmemora cada año el 24 de marzo, desde el Ministerio de Salud Río Negro se destaca la importancia de pensar en esta enfermedad durante todo el año. Se trata de una enfermedad infecciosa cuya transmisión se produce fundamentalmente por vía área, mediante la bacteria Micobacterium tuberculosis y su llegada a los pulmones. Puede desarrollarse en cualquier órgano, pero la mayoría de las veces se localiza en los pulmones.

Lee también: Estudiante de la Sede de Viedma de la UNRN recibió una beca para ir a Alemania

Las personas enfermas son la principal fuente de infección a través de las pequeñas gotas que se producen al toser, hablar o estornudar, por esto que un diagnóstico precoz y tratamiento adecuado, disminuye el sufrimiento de la persona afectada, así como la aparición de casos nuevos en la comunidad.

Al respecto, Gabriela Vázquez, coordinadora del Departamento Provincial de Tuberculosis, invita a pensar en Tuberculosis y a acercarse en busca de la atención del equipo de salud ante la presencia de tos con expectoración por más de 15 días, fiebre, cansancio, decaimiento y/o falta de apetito, sudoración por la noche y/o eliminación de sangre con la tos.

Es importante priorizar la atención en los grupos que resultan vulnerables como lo son las personas con tos por más de 15 días, los contactos de personas con diagnóstico de Tuberculosis, especialmente en niñas, niños y adolescentes, personas con VIH, personas en contexto de consumo problemático de alcohol y/u otras sustancias, personas en situación de calle, personas con diabetes, desnutrición, en diálisis, trasplantados o con otras enfermedades que comprometen el sistema inmunitario y/o que se encuentran en tratamientos prolongados con corticoides o inmunosupresores.

La tuberculosis es una enfermedad que se puede curar dando cumplimiento al tratamiento. En Río Negro, el tratamiento se brinda de manera gratuita en todos los hospitales y centros de salud de la Provincia y tiene una duración de 6 a 12 meses, por lo que se trabaja a diario para fortalecer las redes de cuidado, tanto entre la comunidad como en los equipos de salud.